经过前期精心的筹备,3月31日,玉林市中西医结合骨科医院举行膝关节外科开科揭牌仪式,这标志着我院膝关节外科诊疗技术和服务迈上新的台阶。医院领导梁博伟、吕广华、李开静、丘增堂、唐继仁和相关部门负责人及科室代表出席揭牌仪式。李开静副院长主持揭牌仪式。

◎医院党委副书记、院长梁博伟致词

◎李开静副院长主持揭牌仪式

◎膝关节外科黄宗权主任致词 我院膝关节外科的开设,是医院在骨科领域进一步深化专科建设、提高医疗服务水平的重要举措。随着人口老龄化趋势加剧,膝关节疾病患者数量不断上升,对于专业的诊疗服务需求也日益迫切。为此,我院紧跟医学发展趋势,组建了一支技术精湛、经验丰富的膝关节外科专业团队,力求为患者提供更加全面、高效的医疗服务。

梁博伟院长在致辞中指出:膝关节外科正式揭牌成立,标志着我院膝关节学科建设进入崭新的发展轨道,在膝关节疾病诊治方面拥有更加专业的医疗团队,将为患者提供更加精准的治疗和高质量的医疗服务。希望科室全体同仁今后以饱满的热情和扎实的工作作风,坚持“人才是第一资源,创新是第一动力”的学科建设理念,遵循“两个核心、两个转变”的学科建设思想,贯彻“一流人才、一流技术、一流质量、一流服务”的学科建设精神,强化膝关节外科建设,提升医疗服务水平,切实满足人民群众就医需求,为膝关节外科成为我们医院又一张亮丽名片贡献个人力量。站在更高的新起点上,我们要更加紧密地团结在以习近平同志为核心的党中央周围,以习近平新时代中国特色社会主义思想为指导,深入学习贯彻党的二十大精神和习近平总书记对广西重大方略要求,牢牢把握高质量发展这个首要任务和构建新发展格局这个战略任务,完整准确全面贯彻新发展理念,解放思想,创新求变,全力推动骨科医院高质量发展,为建设新时代中国特色社会主义壮美广西做出新的更大贡献。膝关节外科团队由梁博伟院长领衔,由唐继仁副院长担任学科带头人,由资深骨科专家、专业护理人员及康复师组成。该科的全体医务人员在膝关节疾病的诊疗、护理及康复方面具有深厚的理论功底和丰富的实践经验。同时,膝关节外科还引进了先进的医疗设备和诊疗技术,确保患者在接受治疗的过程中能够享受到更加舒适、安全的就医体验。膝关节外科的诊疗范围涵盖了膝关节严重创伤、膝骨关节炎阶梯化治疗,膝关节微创单髁置换术、全膝关节置换术、膝关节翻修术具有丰富的临床诊疗经验,尤其是对膝关节严重创伤、膝骨关节炎阶梯化治疗,膝关节微创单髁置换术、全膝关节置换术、膝关节翻修术具有丰富的临床诊疗经验,同时开展髋关节微创置换手术。我们将为患者提供个性化的诊疗方案,通过保守治疗、微创手术、关节置换等多种治疗手段,帮助患者尽快恢复关节功能,提高生活质量。在膝关节外科开科之际,我们诚挚地邀请广大患者前来就诊,膝关节科将竭诚为您提供最优质的医疗服务。同时,我们也期待与各位同仁携手合作,共同推动膝关节外科领域的发展,为广大患者带来福音。 膝关节外科将不负众望,努力为膝关节疾病患者创造一个更加美好的就医环境。

膝关节外科简介

膝关节外科技术力量雄厚,科室配备医护人员30人,其中,主任医师5名,副主任医师3名,主治医师3名,住院医师4名,博士1名,硕士研究生4名。开放床位48张。该科擅长对膝关节严重创伤(包括股骨远端骨折、髌骨骨折、胫骨平台骨折等)、膝骨关节炎阶梯化治疗、保膝治疗、膝关节微创单髁置换术、全膝关节置换术、膝关节翻修术具有丰富的临床诊疗经验,追求微创、无痛、快速康复。对膝关节骨性关节炎采取阶梯化治疗方案,坚持中西并重、内外兼治的原则,取得满意的治疗效果。早期利用中医中药的传统优势,使用中医外治法,例如烫熨治疗、中药涂擦、雷火灸、中药塌渍等,同时辩证内服本院中药制剂及内服方药以及配合西药治疗,开展健康教育,运用运动疗法、物理治疗等辅助支持;中期开展软骨修复、截骨术、单髁置换术、髌股关节置换术等;对于终末期的膝关节OA采用全膝关节置换术。【膝关节外科主要特长】 (一)膝骨关节炎高位截骨术

(二)膝骨关节炎单髁置换术

(三)膝骨关节炎全膝关节置换术

(四)膝关节置换术后关节翻修术

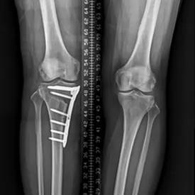
(五)胫骨平台骨折内固定术

(六)膝关节置换术后假体周围骨折内固定术

(七)膝骨关节炎的中医中药特色治疗

雷火灸

烫熨治疗

针刺疗法

穴位贴敷

中药塌渍

中药泥灸

中药制剂