咨询热线
0775-2824515
出诊电话
0775-2837100
0775-2200000
医院地址
广西壮族自治区玉林市玉州区文体北路70号
网站首页
医院概况
医院简介
资质荣誉
科研成果
领导班子
医院文化
历史沿革
医院资讯
热点资讯
医学前沿
院务活动
媒体报道
视频在线
就医指南
挂号就诊须知
门诊服务
出入院服务
医保报销
实景导航
乘车路线
常见问题
医院特色
全国名老中医专家传承工作室
国家中医重点专科
广西临床重点专科
自主研发药品
医疗技术设备
专家团队
科室导航
科普系列
科普文章
反诈宣传
科普视频
信息公告
医疗价格公示
依法治院(普法专栏)
信息公开
人员招聘
党群建设
党的建设
清廉医院建设
工会活动
共青团风采
科研科教
伦理委员会
医疗科研项目
临床试验机构(GCP)
医院教育教学
科室
医生
文章
就医指南
实景导航
出诊电话
0775-2837100
0775-2200000
官方微信
TOP
网站主页
>
内容详情
开展人工髋、膝关节置换手术
发布日期: 2021-08-02
浏览次数:4034
玉林市中西医结合骨科医院
开展人工髋、膝关节置换手术治疗髋、膝骨性关节病,股骨头坏死,老年股骨颈骨折,能改善功能,缓解疼痛、恢复生活自理。
病例1:女,74岁,因右股骨颈骨折在外省某医院做人工全髋关节置换手术,术后由于右髋关节疼痛,活动障碍,严重影响生活,在床上敞了一年多,后转到我科治疗。
经我科行人工关节翻修手术,术后疼痛缓解,活动功能恢复,3个月后复查患者已能下地活动,效果满意。
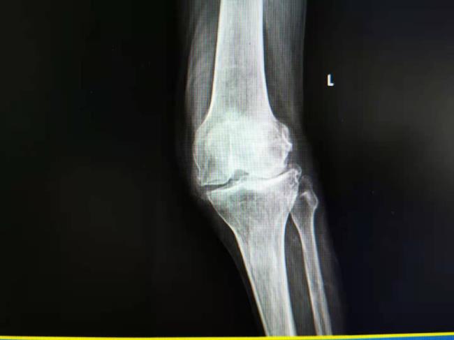
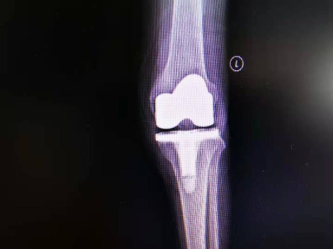
病例2:男65岁,左膝关节退行性变,关节炎,关节疼痛,活动障碍多年。
在我科行全膝关节置换手术,术后疼痛消失,功能恢复。
上一篇:
开展数字化技术,3D打印技术