• 咨询热线
  • 0775-2824515
  • 出诊电话
  • 0775-2837100
    0775-2200000

就医指南

实景导航

出诊电话

0775-2837100 0775-2200000

官方微信

TOP
开设青少年脊柱侧弯中医药干预专科门诊暨2024年青少年脊柱侧弯暑假防治训练营招募
发布日期: 2024-06-29浏览次数:1680玉林市中西医结合骨科医院

据统计,中国青少年特发性脊柱侧弯发病率介于1.5%~3%,男女比例:1:2~1:7,约占全部脊柱侧弯的80%左右,是临床中最常见的脊柱侧弯。该病发病率高、进展快,如果没有对该病及时诊断、矫正,势必会影响青少年的体形发育,严重的可能会导致胸廓畸形,心肺变位,影响心肺功能,甚至发生截瘫,在生理及心理上给患者造成很大的负担。为了能为广大市民提供及时、专业的医疗技术服务,我院特开设青少年脊柱侧弯中医药干预专科门诊。



脊柱侧弯科普知识

一、什么是脊柱侧弯? 

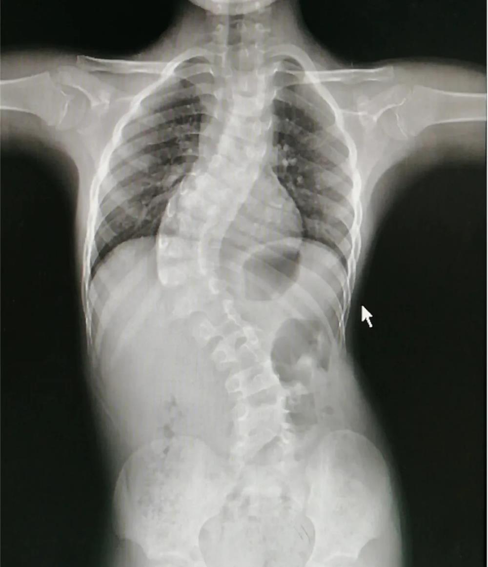
脊柱侧弯:又称脊柱侧凸,它是一种脊柱的三维畸形,包括矢状位、冠状位和轴位的序列异常。如果正位全脊柱X线片显示cobb角大于10°的侧方弯曲,即可诊断。


二、脊柱侧弯的临床体征
1、脊柱偏离正中线
2、双肩不等高
3、一侧后背隆起,腰部一侧有皱褶
4、腰背不平整——剃刀背
5、骨盆不等高
6、下肢不等长

7、女孩双乳发育不均等,一侧的乳房往往较大。



三、脊柱侧弯治疗原则
1、 早发现、早诊断、早干预、早治疗一越早越好;
2、 不同类型、不同年龄阶段的治疗原则完全不同;
3、 一旦发现,必须咨询专业的脊柱外科医师;
4、 根据Cobb角大小选择不同治疗方法:
当Cobb角大于40°,可选择手术治疗
当Cobb角小于40°大于20°,可矫形器治疗配合物理治疗、矫正体操。
当Cobb角小于20°,可物理治疗及矫正体操。

当Cobb角小于10°,观察,并定期复查。

标准化的阶梯治疗流程

1、日常生活学习时姿势的纠正

观察式治疗一般适用于生长发育期10°以下的病人。病人每隔4-6个月回到医院进行体格检查,必要时拍摄全脊柱X光片,此期间患者需要注意日常生活学习时姿势的纠正。


2、形体治疗

主要针对脊柱侧弯度数10°-40°的患者,以及部分侧弯<10°但有进展倾向或不能配合支具及手术治疗的儿童及青少年患者。脊柱侧弯形体训练是指根据脊柱侧弯发生部位,指导患者在简单设备辅助下,通过一系列脊柱周围肌肉及不对称呼吸训练,使之与脊柱侧弯发展相对抗,从而达到控制脊柱侧弯进展的目的。


3、矫形外支具治疗

主要针对脊柱侧弯度数在20°-40°之间,且有继续发展趋势的儿童及青少年患者。支具治疗是指通过各种材料做成的矫形器在侧弯的凸侧施加一个反向的挤压力,从而起到部分矫正侧弯并控制侧弯的进展,大部分角度较小的患者在采用支具治疗将有可能限制侧弯的发展,从而避免手术。


4、手术治疗

青少年特发性脊柱侧弯的手术指征:侧弯角度 >40° ,支具治疗无效,侧弯进展速度>5°/年和外观畸形明显者。手术治疗是通过钛合金或不锈钢螺钉和棒等内固定技术将弯曲的脊柱慢慢拉直固定,然后将移植骨覆盖于脊柱后方使弯曲的脊柱长在一 起,从而达到预防脊柱弯曲加重,改善心肺及消化功能的目的。


今年2月份我院顺利举办了青少年脊柱侧弯寒假防治训练营,并获得了参加训练营的青少年及其家长们的认可。为了让更多家长和孩子意识到脊柱健康管理的重要性,更积极主动地解决脊柱问题,玉林市中西医结合骨科医院青少年脊柱侧弯中医药干预中心作为“健康中国中医药专项行动项目”建设单位,通过开展“保健康,正脊梁”主题活动,关注青少年脊柱亚健康,以降低脊柱侧弯增长率,降低重度脊柱侧弯发生率为目标,拟在近期举办的多专业一体化青少年脊柱侧弯暑假防治训练营,开始招募脊柱侧弯志愿者免费参加本期活动。

1、招募对象:年龄在10-18岁,男女不限,存在脊柱侧弯、高低肩、姿势不良的青少年。
2、报名时间:2024年7月1日-2024年7月6日。
开营时间及招募人数:
2024年暑假第一期:2024年7月22日-2024年7月28日,为期7天,共15名志愿者。
2024年暑假第一期:2024年7月29日-2024年8月4日,为期7天,共15名志愿者。
周末班:2024年7月06日-2024年9月1日,共10名志愿者。(周末训练,累计7天,确诊脊柱侧弯需要参加家医打卡群,做好效果评估)
门诊筛查,确定入营名单时间:2024年7月8日、2024年7月9日
3、 治疗地点:玉林市中西医结合骨科医院门诊3楼康复治疗科(玉林市文体北路70号,可以乘坐5路,17路公交车)
4、 训练内容包括:
(1)脊柱侧弯体态评估,必要时需进行X光检查
(2)个性化制订治疗方案
(3)日常坐姿、站姿的矫正
(4)正确的呼吸训练
(5)施罗斯矫形体操训练
(6)根据具体情况配合针灸、推拿、理疗等治疗           
(7)家庭康复指导
5、注意事项:
(1)符合招幕条件的志愿者先扫码报名参加筛查评估,符合条件的凭本团队筛查医师出具的评估表进行预约登记,双方确定入营日期。如有特殊原因不能如期参加的人员,请提前3天与工作人员联系,进行调整。
(2)如有近期站立位脊柱全长X光片,请随身携带。
(3)需穿运动文胸与运动裤用于体操训练。
(4)治疗过程中需要家长积极配合,每日打卡。
6、扫码报名及咨询电话:
脊柱二科:0775-2188120/13657754985
康复治疗科运动治疗室:0775-2080083/15277596260