• 咨询热线
  • 0775-2824515
  • 出诊电话
  • 0775-2837100
    0775-2200000

就医指南

实景导航

出诊电话

0775-2837100 0775-2200000

官方微信

TOP
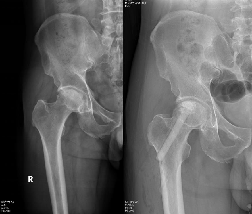
股骨头坏死
发布日期: 2022-02-11浏览次数:3566玉林市中西医结合骨科医院

为股骨头坏死患者提供个性化、阶梯化中西医结合治疗方案,对早中期患者给予中西医结合保头治疗,晚期患者给予微创关节置换快速恢复关节功能。



双侧股骨头坏死患者在我科行植骨保头手术治疗,一年后完全康复,现术后13年,双髋功能正常。图示为术前及术后3年的X光片。



微创病灶清除陶瓷棒植入诱导血管重建治疗股骨头坏死,图为术前术后照片。