微创髋膝关节置换治疗髋膝疾病
发布日期: 2022-02-11浏览次数:2706玉林市中西医结合骨科医院
在广西区内率先开展微创DAA全髋关节置换并积累了丰富的病例数和经验,努力实现“术中极限动作不脱位,术后无需限制体位,完全恢复正常活动”。该技术得到同行的高度认可,举办了多期学习班,培养了600多学员,使该技术造福更多的患者。开展关节置换术前AI设计,实现人工关节置换的个体化、精准化重建。


股骨头坏死,行微创DAA全髋关节置换,术前AI设计给精准重建提高保障,术后无需限制体位,术后即可走出手术室,能自由行走、深蹲。

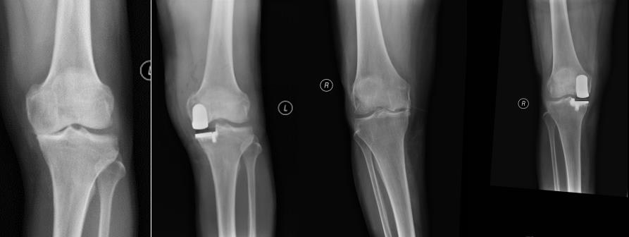
膝关节骨性关节炎,股骨内髁坏死,行微创单髁置换消除疼痛,关节功能恢复正常,患者恢复后自我感觉“未做过手术”。

刘*,女,57岁,30年前因外伤致左股骨头骨折而行半髋置换术治疗。入院前因疼痛伴跛行2个月就诊,多家医院不敢手术,在我科手术后一周即下地活动。